
日時:3/10 (火) 16:00-17:30
無料オンライン形式 (ZOOM)

日時:3/10 (火) 16:00-17:30
無料オンライン形式 (ZOOM)
免疫はなぜ暴走するのか?
|
![]() |
柴田 琢磨 先生 東京大学医科学研究所 |
Toll-like receptor 7(TLR7)をはじめとする核酸認識センサーはウイルス由来の核酸を感知することで免疫応答を誘導し、私たちの体を感染から守っています。一方で、これらセンサーの過剰活性化は自己免疫疾患や自己炎症性疾患などのヒト疾患につながることも明らかになってきました。本セミナーでは、核酸認識センサーの疾患における役割を解説するとともに、最近判ってきた「核酸代謝による核酸認識センサーの制御」という新たな視点を紹介したいと思います。

代謝臓器の「組織再構築」から
|
![]() |
菅波 孝祥 先生 名古屋大学環境医学研究所 |
従来、肥満や糖尿病などの生活習慣病は代謝疾患と捉えられてきましたが、近年、慢性炎症性疾患の一面を有することが明らかになりました。そこで、生活習慣病の病態を明らかにするためには、慢性炎症の本態である「組織再構築」を深く理解する必要が生じてきました。本セミナーでは、栄養環境の変化が代謝臓器の多種多様な細胞種にどのように影響し、組織が再構築されるかについて、我々の研究成果をご紹介します。

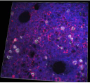
MASH肝におけるコレステロール結晶とマクロファージ
赤:マクロファージ
青:DAPI(核)
白:コレステロール結晶(微分干渉)
セミナー申し込みは終了しました
本セミナーへのお問い合わせ:
株式会社ニコンソリューションズ バイオサイエンス営業本部
Email : Nsl-bio.Marketing@nikon.com